Consultation appointment

Macau Telephone

+853 65585927

Email phone

nearhk@outlook.com

Vickong Dental Smile just for you

Dental implantsWhether or not to Remove Wisdom Teeth When They are Not Painful​.

2023-05-08 VickongDental implants

Below, we will introduce the content related to Whether or not to Remove Wisdom Teeth When They are Not Painful. As the video said, many young people may encounter the situation of growing wisdom teeth. When they are in severe pain, they want to have them removed immediately. When they are not painful, they completely forget about it, and even if they remember, they lack the courage to have their teeth removed. This leads to repeated inflammation, repeated searches on the internet, fear, and procrastination. I don't know if the public's dental phobia comes from their innermost being.


  



  

Science Popularization

Wisdom Teeth: They are the teeth closest to the throat in the mouth, counting from the front central incisors they are the eighth tooth, and usually, there should be four symmetrical teeth on the upper and lower jaws. Because it erupts late, usually between the ages of 16 to 25, a time when a person's physiological and psychological development is approaching maturity, it symbolizes "the arrival of wisdom," and is therefore commonly referred to as "wisdom teeth."


According to surveys:


- The eruption rate of wisdom teeth in the 16 to 25-year-old population in China is 54%.

- Among those with erupted wisdom teeth, impaction and misalignment account for about 44%.

- The incidence in the lower jaw is about 2.5 times higher than that in the upper jaw.


This can be seen very clearly on X-rays.


  



  


  

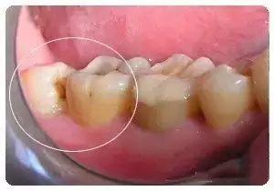
☞Why are wisdom teeth prone to inflammation?

Due to poor positioning during eruption, wisdom teeth may be partially or fully covered by gum flaps. Being located on the innermost part of the mouth, they are difficult to clean while brushing, making it easy for food particles to become trapped between the teeth and leading to bacterial growth and inflammation. The pain intensifies during activities such as chewing, swallowing, and opening the mouth, and may even spread to infect other teeth. In the later stages of pericoronitis, symptoms may include halitosis, thick tongue coating, and pus discharge around the wisdom teeth. In severe cases, half of the face may become swollen, making it difficult to eat. Other accompanying symptoms may include fever, headache, constipation, and lymph node enlargement.

  

  


  

Should wisdom teeth be extracted?


The statement in the article is correct, not all wisdom teeth need to be extracted, as it depends on individual cases. It is best to have an X-ray taken before making a decision.


If the wisdom teeth have already erupted normally, and their position and direction are correct, with good occlusion and no history of inflammation or pain, and without decay, then they can be retained.


If they cause repeated pain or impaction, such as tilting forward, backward, horizontally, or inverted, it is better to extract them, even if it is difficult. This is because they cannot grow in properly. Moreover, it is possible that the adjacent teeth in front of it may be affected by inflammation this year, and then extraction of one tooth may require extraction of another later on!

  

  

A very important reminder for women who are planning to get pregnant

  

For women who are planning to get pregnant, it is essential, necessary, and urgent to immediately remove any wisdom teeth that may be obstructing their dental arch! Pregnancy is a high-risk period for wisdom tooth inflammation, and the risks associated with handling it are significant. Medications cannot be taken lightly, and if unlucky, the pregnant woman may suffer from excruciating pain and even develop osteomyelitis. Alternatively, antibiotics may be used, but this means sacrificing the fetus! This information has not been reported on CCTV entertainment programs, so I want to report it now. There have been cases where these scenarios have occurred.


"How much does it cost to remove wisdom teeth?"


Here is the translation of the paragraph:


"I am here to tell you responsibly that regular dental institutions will not overcharge for wisdom teeth extraction. The price of extracting wisdom teeth mainly depends on the city where you are located and the difficulty of the extraction. Generally, the cost ranges from a few hundred to a few thousand dollars. You may think that it's easy to remove a tooth, but a simple extraction can take only a few minutes. However, for impacted wisdom teeth, it can be a complex procedure that involves cutting the gums, using high-speed turbines for minimally invasive cutting, removing bone, splitting the tooth, scraping the socket, and stitching the wound to stop bleeding. The entire process can take two to three hours, which is comparable to an appendectomy (how much does that cost?). "


"Finally, I would like to remind everyone:"

"When choosing to have your wisdom teeth extracted, it is important to choose a regular and professional dental hospital to avoid causing irreparable damage to your teeth and even your body!"

  




The above is all the content about Whether or not to Remove Wisdom Teeth When They are Not Painful.. Thank you for reading. If you have any other questions, please feel free to consult our professional doctors. Could you please help me translate this paragraph into English?

<!--=""-->


<!--=""-->


Vickong Dental

Vickong Dental is a large medical group established in Hong Kong in 2008 by professors from well-known medical universities in Guangdong and Hong Kong, as well as medical doctors from key national '985' universities (including Master's supervisors and senior professors). The chain of branches brings together expert dentists with PhDs and Master's degrees from Hong Kong and Mainland China, committed to providing high-quality dental treatment.

"Vickong Dental Practices the University Motto of 'Healing and Serving Society,' with a Stable Operation for Sixteen Years. It Has Been honored with Hong Kong Enterprise Leaders's Choice,' and is a Global Trusted Implant Center for the Nobel Implant System. Recommended by Hong Kong Metro Broadcast and Guangdong Television, it Serves Customers from Over Thirty Countries and Regions, Gaining the Trust and Favor of Citizens from the Guangdong-Hong Kong-Macau Greater Bay Area and Surrounding Cities.

Thousands of customers' unanimous praise

The most recognized and highly recommended dental service by customers in the Guangdong-Hong Kong-Macau Greater Bay Area

We Ensure You Receive Detailed Care and Attention Here

Hong Kong standards, Shenzhen prices, Your Trusted English-speaking dentists

Vickong Dental Medical-Grade Instrument Disinfection Process

Vickong Dental Medical-Grade Instrument Disinfection Process

Vickong Dental Chain: A Warm and Comfortable Environment for Treatment

Appointment Hours

Open for Appointments from Monday to Sunday, Including Public Holidays

9:30am-6:30pm

WhatsApp Link

Q&A

Why choose Vickong Dental?

Vickong Dental practices the university motto 「Medicine to Benefit Society」, with each branch bringing together highly qualified dentists with doctoral and master’s degrees from Hong Kong and the Mainland, and has maintained seventeen years of steady operation。Recipient of 「2024 Hong Kong Enterprise Leaders Brand」, 「2025 Hong Kong Enterprise Leaders Brand」, a Nobel Biocare Global Trusted Implant Center, and a brand recommended by Metro Radio Hong Kong and Guangdong TV。
To date, we have served customers from more than thirty countries and regions,earning exceptionally high word-of-mouth recognition and trusted recommendations from residents across the Guangdong-Hong Kong-Macao Greater Bay Area and surrounding cities We have eight major branches in Zhuhai、Shenzhen,and a consultation and service assurance center in Hong Kong,so you can book a free consultation at any time for any questions,which is very reassuring.

If I do not accept the quotation after the CT scan, will I be charged??

No! As long as the actual treatment has not started, you will not be charged any fees.

Will there be any additional charges during the treatment process?

No, there won’t be any additional charges. Before treatment begins, we will clearly explain the treatment plan and its corresponding fees. Only after the patient agrees and signs the consent form will we proceed with the dental service.

Can I pay in Hong Kong dollars?

Yes. Vickong Dental accepts payment in Hong Kong dollars. The amount will be converted based on the exchange rate of the day, and the applicable rate will be clearly communicated to you in advance.

Can I reschedule my appointment at any time?

Yes. Please contact us via **WeChat** or **WhatsApp** as early as possible, providing your original appointment time and details, along with your preferred new date and time slot for rescheduling.

Tel. 853 6558 5927
WhatsApp
Phone consultation

Click "OK" to consult and make an appointment at the Vickong Dental, and apply for free X-Ray fees and free consultation fees!

OK
WhatsApp consultation

Click "OK" to consult and make an appointment at the Vickong Dental, and apply for free X-Ray fees and free consultation fees!

Cancel OK